
Walking meditation: Benefits and how to do
Walking meditation is a type of mindfulness practice that can offer benefits. It may help to reduce stress, improve mood and sleep quality.

Walking meditation is a type of mindfulness practice that can offer benefits. It may help to reduce stress, improve mood and sleep quality.

LIVE NEWS: Stay updated with all the latest health news and developments from around the world with us. Scroll down to check what is happening around you. TheHealthSite.com

Unhealthy body fat distribution and chronic weight gain are linked to the brain's sensitivity to insulin
New research from the United States explores the pressing question of how extreme heat affects humans.

Research suggests that eating more fruit may help prevent depression—here’s what scientists say about the link between diet and mental health.

Scientists identify two types of heart scars, paving the way for targeted therapies - Jerusalem [Israel], March 2 (ANI/TPS): Challenging conventional medical wisdom, Israeli scientists found that scar tissue formation in the heart ... Get Latest News on International only on lokmattimes.com

As many as 20,414 people were infected with swine flue, and 347 died of the viral disease in India as of December 2024, government data showed.

How often you poo might seem like a personal quirk, but it can reveal a lot about your health. From once a day to a few times a week, bowel habits vary widely. But is there an ideal frequency? Experts say paying attention to changes in your routine can help detect early signs of health issues.

China Virus: Named HKU5-CoV-2, the virus was identified by scientists at the Wuhan Institute of Virology, which has been at the centre of the theory that Covid-19 leaked from a lab. Read on to know more about this newly detected virus. TheHealthSite.com
The McMaster University team shows how dietary exposures, early life experiences, and gut health can influence a child's growth and cognitive milestones.

A study from the University of Hyderabad reveals that over 80% of IT employees in India suffer from fatty liver disease. | Trending

Let's admit, apart from some psychological and mental highs, smoking has no benefits. It damages your lungs, heart, arteries, and blood vessels, among several other body parts. But, there is one more organ smoking harms in a big way and that is your pair of kidneys. Our expert tells us more.

Uncover the mysteries of Neuroendocrine Tumours (NETs), a rare and often misdiagnosed condition. Expert insights reveal why NETs frequently go unnoticed

VaxiFlu-4 is being marketed by Zydus Vaxxicare-a division of the group focussing on preventives.

The detection of bird flu (H5N1) in domestic cats in Madhya Pradesh — a first-of-its-kind case in India — has raised concerns.

Endometriosis can affect your bladder. It can be one of the reasons why you have pain during sex and periods. Here's everything to know about bladder endometriosis.

New gene therapy for maple syrup urine disease shows promise in preventing deadly symptoms in cows and offers hope for patients.

A team of US researchers has decoded that genetic and lifestyle factors may determine why some people with Down syndrome suffer dementia.

Pune: Maharashtra Deputy Chief Minister Ajit Pawar on Saturday said the state government was considering making the Human Papillomavirus (HPV) vaccine available for girls in the state to protect them...

The Maharashtra government has decided to implement a free cancer vaccination programme to address the issue.

If a person suffers from Alzheimer's disease, certain proteins accumulate in brain cells, forming clumps that restrict normal cell function or even cause the cell to die

Coconut water contains electrolytes such as potassium, sodium, magnesium and phosphorus. But should you add the refreshing drink to your routine? | Health

- Free JE Vaccination For Children Aged 1-15 Begins In Pune, Pimpri-Chinchwad; Over 10 Lakh Children To Be Vaccinated

From hindered social skills to anxiety, know the severe effects of too much screen exposure on teen’s mental health. | Health

Here is good news for those who are feeling under the weather and are on the verge of depression, they can fight the blues by eating oranges

UK health authorities warn of a potential second wave of norovirus as cases surge to record levels. A new GII.17 strain is contributing to the rise, with hospitals and care homes heavily impacted.

Health authorities in the United Kingdom (UK) have raised the alarm this week over a potential second wave of norovirus, with new data showing a shift in circulating strains.

Hyderabad: Biological E. Limited has announced a strategic partnership with Bavarian Nordic A/S to expand access to Bavarian Nordic's Chikungunya Vaccine in low- and middle-income countries (LMIC)....

Learn how to manage hypertension and prevent cardiovascular diseases through expert advice at The Hindu's webinar on blood pressure.
A new study suggests that acetaminophen (paracetamol), a widely used painkiller during pregnancy, may increase the risk of ADHD in children. Researchers found a link between prenatal exposure and ADHD diagnoses, prompting experts to call for further investigation. However, medical authorities maintain that acetaminophen remains safe when used responsibly., Health News - Times Now

WHO highlights encephalitis as a public health priority, urging a national strategy to tackle the disease effectively.
However, no cases of bird flu in humans have been reported in the state so far. | Bengaluru News

Epilepsy, a misunderstood neurological disorder, affects millions worldwide, but with proper treatment, individuals can lead fulfilling lives.

Bird flu, or avian influenza, is a highly contagious viral infection that primarily affects birds but can occasionally spread to humans.

UK study says how adults diagnosed with ADHD are living shorter lives with risk-taking behaviour.

Wondering which tea is best for dropping pounds? Go for the green-coloured matcha tea for weight loss, as it has a good mix of caffeine and catechins.

A new study indicates that pain perception is influenced by expectations and certainty. Researchers conducted a virtual reality experiment to find results. | Health

Chikkaballapur (Karnataka), Feb 28 (SocialNews.XYZ) As the district authorities take steps to contain the bird flu outbreak in the Chikkaballapur district, located close to Bengaluru, the State Animal Husbandry and Veterinary Department has issued an... - Social News XYZ

Cases of bird flu (H5N1 avian influenza), among poultry birds have been reported in Manvi taluk of Raichur, Chikkaballapur taluk of Chikkaballapur and Sandur taluk of Ballari, officials said.

A new study has shown that two drugs - lecanemab and donanemab - could help patients stay independently by approximately 10–13 months in the early stage of Alzheimer's disease.

Gaza polio vaccination drive reached 600,000 children: WHO | World News

New Delhi, Feb 27 (IANS) Previous infections with seasonal H1N1 flu may boost immunity and reduce the severity of H5N1 bird flu, according to a study.

New Delhi, Feb 27 (VOICE) Previous infections with seasonal H1N1 flu may boost immunity and reduce the severity of H5N1 bird flu, according to a study.

Dr Céline Gounder, who is an infectious disease expert, said on ‘CBS Mornings Plus’, “All the testing we have that's come back positive so far is malaria. So that is somewhat reassuring if this is an outbreak of malaria. The question remains, why are people getting this sick and dying so quickly?”

Health News Live: Get real-time updates on global health trends, medical breakthroughs, disease outbreaks, and expert warnings. Stay informed with the latest developments. TheHealthSite.com

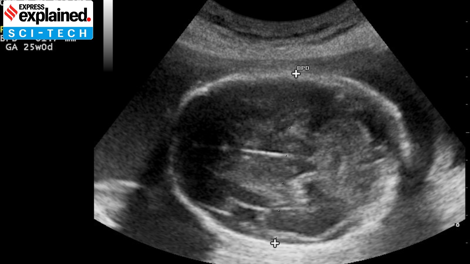
For pregnancy cases, the Australian researcher said that the technology could save the healthcare system millions of dollars every year through admissions

According to the ICMR report, between 2012 and 2022, cancer incidence increased by 36%, rising from 1.01 million in 2012 to 1.38 million in 2022. Similarly, cancer-related deaths also exhibited a rise of 30.3%.

For decades, brain imaging has generated compelling evidence for brain atrophy in people diagnosed with schizophrenia. Brain atrophy involves the loss of brain tissue—the loss of both neurons and the connections they form—and can affect both grey and white matter.

Australian scientists have developed a breakthrough blood test using nanoflower sensors to detect pregnancy complications like gestational diabetes and high blood pressure as early as 11 weeks, improving maternal care.

Struggling to sleep as you age? Science says this simple light trick can fix it. | Health

Discover the causes, health impacts, economic consequences, and mitigation strategies for air pollution in India. Learn how policy interventions and clean energy solutions can improve air quality.

A new study found that three in every five people in India die of cancer following diagnosis. The study was conducted by the Indian Council of Medical Research (ICMR) and published in The Lancet Regional Health Southeast Asia journal. Read on to know more.

The duplications likely do not alter the conclusions, but the paper contains other methodological issues, two independent microplastics researchers say.

HEALTH-ILLNESS/CONGO:Two clusters of unknown illness kill 50 in Democratic Republic of Congo | World News

The carnivore diet promises weight loss but raises health concerns. Experts warn of kidney stones, heart disease, and nutrient deficiencies, while some studies highlight benefits. More research is needed to confirm its long-term safety.

Health News Live: Stay updated with breaking stories on global health, medical breakthroughs, disease outbreaks, and wellness tips. Real-time coverage, always current. TheHealthSite.com

The outbreak began in the village of Boloko after three children ate a bat and died within 48 hours, the Africa office of the World Health Organization said Monday.

The outbreak began in the village of Boloko after three children ate a bat and died within 48 hours, the Africa office of the World Health Organization said Monday.

FOLLOWING a popular diet could slash your risk of several cancers linked to obesity, a study suggests.Being overweight or obese can make you more like

IT employees susceptible to Metabolic Dysfunction-Associated Fatty Liver Disease (MAFLD), says UoH study

Plant-based diet tips: Joint pain and arthritis may cause discomfort and limit mobility. While medication and lifestyle changes play a role in managing symptoms, research suggests the positive impact of diet on inflammation.

New review by diabetologist Dr Anoop Misra shows how to have a pre-meal to check sugar spikes.

According to doctors on the ground and the World Health Organisation, the interval between the onset of symptoms and death has been 48 hours in the majority of cases

Both the Wyoming and Ohio patients experienced “respiratory and non-respiratory symptoms,” a CDC report said.

A study from Kuwait's Dasman Diabetes Institute reveals alarming insights into the effects of sleep deprivation on the immune system. Here are key takeaways. | Health

A study from Kuwait's Dasman Diabetes Institute reveals alarming insights into the effects of sleep deprivation on the immune system. Here are key takeaways. | Health

Lifestyle News Live: Stay informed with Hindustan Times' live updates! Track the latest lifestyle news including fashion trends, style guide & Tips, India & World Events. Don’t miss today’s key news for February 25, 2025.

Drew Weissman warns that a rise in anti-vaxxers could lead to deaths from preventable diseases like measles and polio, reversing decades of progress. | Latest News India

A new study reveals that even a single night of sleep deprivation can alter immune cell profiles to resemble those seen in obesity, a condition linked to chronic inflammation.

New research suggests cancer risk is set before birth, shaped by epigenetic changes during development revolutionizing early detection.

The fertility diet is the foundation of reproductive wellness, providing essential nutrients necessary for conception, pregnancy, and overall health

Did you know sugar adversely affects women’s health? Nutritionist Neha Parihar unveils the hidden truths, cautioning women about its impact. Learn more here!

The Afghan interim government's Ministry of Public Health on Monday announced a four-day vaccination campaign aimed at protecting nearly 6.3 million children under the age of five from poliovirus.

The scientists treated spinal muscular atrophy, a debilitating genetic condition which affects motor neurons that control movement, and leads to progressive muscle weakening

Kabul, Feb 24 (SocialNews.XYZ) The Afghan interim government's Ministry of Public Health on Monday announced a four-day vaccination campaign aimed at protecting nearly 6.3 million children under the age of five from poliovirus. The campaign,... - Social News XYZ

Dr Rizwana Attar underscores the importance of a fertility diet in enhancing reproductive health and managing conditions like PCOS and endometriosis.

Discover how health and ageing genes influence our lives. Environmental factors play a larger role in health than previously thought.

Mongolia has confirmed another imported case of measles, bringing the total to four, local media reported on Monday, citing the country's National Centre for Communicable Diseases (NCCD).

Mongolia confirms imported case of measles - Ulan Bator, Feb 24 Mongolia has confirmed another imported case of measles, bringing the total to four, local ... Get Latest News on International only on lokmattimes.com

Stress is not the enemy, it’s how we handle it that matters. By knowing the nervous system shifts and using simple, research-backed techniques, you can take control of your stress rather than letting it control you. Here’s how.

When Fatima Sana Shaikh talked about Epilepsy, she shed light on one of the most common neurological disorders worldwide, but one which still carries stigma

A suspected norovirus outbreak aboard the P&O Iona cruise ship has left passengers feeling unwell as the vessel sails through northern Europe. What Is Norovirus? Know All About Contagious Virus That Reportedly Has Passengers ‘Dropping Like Flies’ on P&O Cruise Ship.
Just days after taking office, RFK Jr. has overseen major shifts at the CDC, including canceling a flu vaccination campaign and delaying a vaccine advisory meeting. The move comes as flu-related hospitalisations surge.
A suspected norovirus outbreak has hit the P&O Iona cruise ship, leaving passengers sick with vomiting and diarrhoea. P&O Cruises confirmed the illness but assured safety measures are in place. Norovirus is highly contagious and spreads through contaminated food and surfaces. , Health News - Times Now

Study shows just 5 minutes of daily moderate-to-vigorous exercise can significantly reduce dementia risk in older adults.

Study explores factors influencing dream recall, revealing age, attitude, sleep patterns, and seasonal variations impact ability to remember dreams.

Slow progress in implementing AI-assisted TB screening tools despite proven cost-effectiveness and high accuracy, hindering TB elimination efforts.

Texas health department has said that most of the measles cases have been reported in people who are unvaccinated or whose vaccine status is known. Read on to know the symptoms and prevention.

Covid-19 like new bat virus HKU5-CoV hasn’t been detected in humans yet. It has only been identified in a laboratory.

Dementia benefits from physical exercise, and even brief periods of activity that people may dismiss as insufficient can help reduce the risk. | Health

Manage diabetes with expert-approved diet tips. Learn how smart food choices can help keep your blood sugar levels stable and support overall health. | Health

Amlodipine, a commonly used blood pressure medication, shows promise in treating ADHD symptoms, according to a study. | Health

Explore the evolution of healthcare in the last century, from pandemics to technological advancements, in this insightful e-book.
In a habit of shifting blame? Study says this habit likely originates from excessive phone usage. Keep track of your screentime.

Symptoms of Ventricular Septal Defect: Though learning that your child has a heart defect like a ventricular septal defect can be frightening, understanding the condition, its symptoms, and the available treatments can offer clarity and reassurance.

A new, unidentified illness has been reported in the northwestern Democratic Republic of the Congo (DRC), which is buffeted by multiple public health and humanitarian crises, the World Health Organization (WHO) said Wednesday.

Disposable plastic containers could be leaching dangerous chemicals into your takeaway food, potentially increasing your risk of cardiovascular disease.

Type 2 diabetes? This trick might help balance your blood sugar levels, boost your insulin sensitivity and improve your brain health. | Health

Unusual campaign in Mandaluyong City's Addition Hills rewards residents for capturing mosquitoes to curb outbreak

Family problems and financial matters are key triggers in the 15-39 age group.